Are you a healthcare professional?

This site is intended only for Healthcare Professionals who are interested in the management of gastric cancer and/or gastro-oesophageal junction cancers.

I AM NOT A HEALTHCARE PROFESSIONAL BUT WOULD LIKE MORE INFORMATION ON GASTRIC/GASTRO-OESOPHAGEAL JUNCTION CANCERS

This website is a educational scientific resource, funded and developed by Astellas Pharma Ltd.
MAT-PL-NON-2025-00052 | Wrzesień 2025

Close-up of a microscope with an abstract overlay of white circles in a lab setting

Interpreting stains

Studies have evaluated both membranous staining and percentage of tumour cells stained for CLDN18.2 expression.1,2

In G/GEJ tumours, CLDN18.2 is reported as the percentage of tumour cells stained with moderate-to-strong membranous stain intensity.1

  • Tissue slides with tumour cells present can demonstrate varying levels of CLDN18 membranous staining intensity, ranging from no staining to strong staining (0 to 3+)
  • Studies have included percentage of tumour cells with only moderate-to-strong (2+/3+) membranous staining for scoring CLDN18
  • Account for tumour necrosis during interpretation

 

stain-interpretation

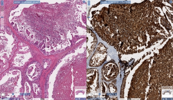
Matched H&E and IHC stain of gastric tumour necrosis (10x magnification)

overlayvideoimage
play-icon

Immunostaining Interpretation & Guidance | CLDN18.2

Immunostaining Interpretation & Guidance | CLDN18.2

closeicon
volumeicon

Immunostaining Interpretation & Guidance | CLDN18.2

closeicon

Immunostaining Interpretation & Guidance | CLDN18.2

How to Interpret CLDN18.2

Josef H. Rüschoff, MD

Click to view stain gallery and quiz

Grey circles on light background

When reporting CLDN18.2 expression, both staining intensity and percentage of tumour cells stained should be included.1

References: 1. Pellino A, Brignola S, Riello E, et al. Association of CLDN18 protein expression with clinicopathological features and prognosis in advanced gastric and gastroesophageal junction adenocarcinomas. J Pers Med (Epub) 10-26-2021. 2. Rohde C, Yamaguchi R, Mukhina S, et al. Comparison of Claudin 18.2 expression in primary tumors and lymph node metastases in Japanese patients with gastric adenocarcinoma. Jpn J Clin Oncol 2019;49(9):870-6.